1 2 3
Down

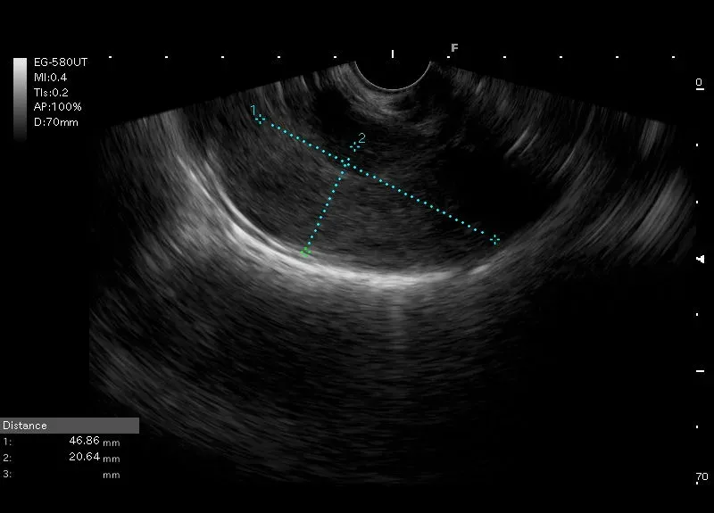
Objaśnienie

Zmiana lita wielkości 47/43 mm o gładkich brzegach, położona w pobliżu lewego płata wątroby, nie łącząca  się z wątrobą ani śledzioną i kontaktująca się ze ścianą żołądka.

Echogeniczność zmiany zbliżona do śledziony-   zmiana może odpowiadać śledzionie dodatkowej.