Down
Objaśnienie
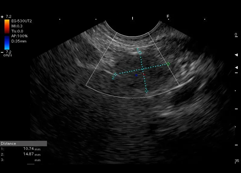
Owalna zmiana wielkości około 11/15 mm o echogeniczności i strukturze zbliżonej do położonej obok śledziony- śledziona dodatkowa
Owalna zmiana wielkości około 11/15 mm o echogeniczności i strukturze zbliżonej do położonej obok śledziony- śledziona dodatkowa