Zmiany poza przewodem pokarmowym
7
1
2
3
Down
Objaśnienie
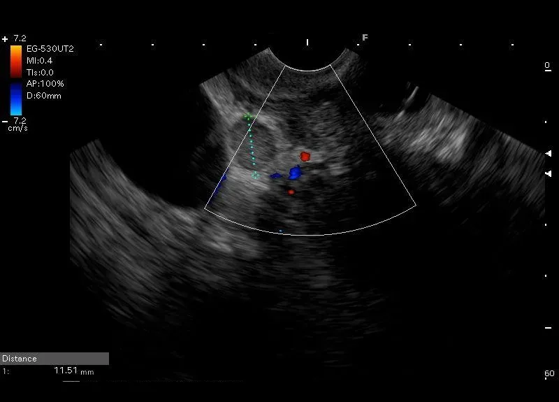
Nieznacznie powiększony węzeł chłonny w okolicy trzustki
poprzedni przypadek
7
następny przypadek