Trzustka
5
1
2
3
Down
Objaśnienie
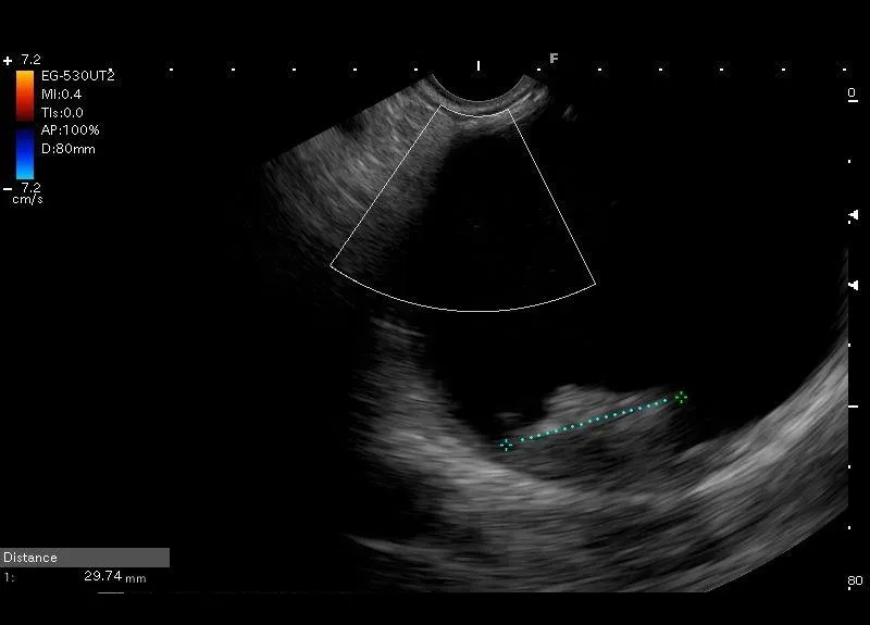
Zmiana torbielowata z hiperechogenicznym obszarem przyściennym
poprzedni przypadek
5
następny przypadek