1 2 3
Down

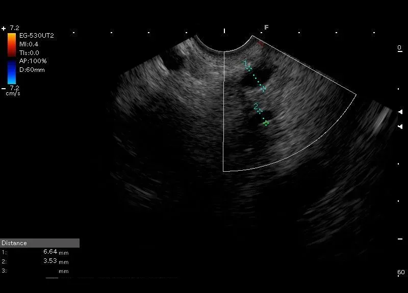
Objaśnienie

Położony bliżej głowicy EUS, szerszy, o grubszych ściankach  przewód żółciowy wspólny i położony  poniżej węższy  przewód Wirsunga.

Przewody widziane w głowie trzustki, przy głowicy umieszczonej w okolicy brodawki Vatera