Down
Objaśnienie
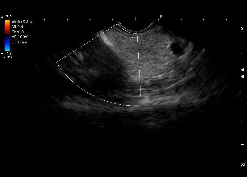
Ogon trzustki zobrazowany przez głowice EUS przyłożoną w trzonie żołądka .Widoczne są także fragment nerki i śledziony.
Ogon trzustki zobrazowany przez głowice EUS przyłożoną w trzonie żołądka .Widoczne są także fragment nerki i śledziony.