Down
Objaśnienie
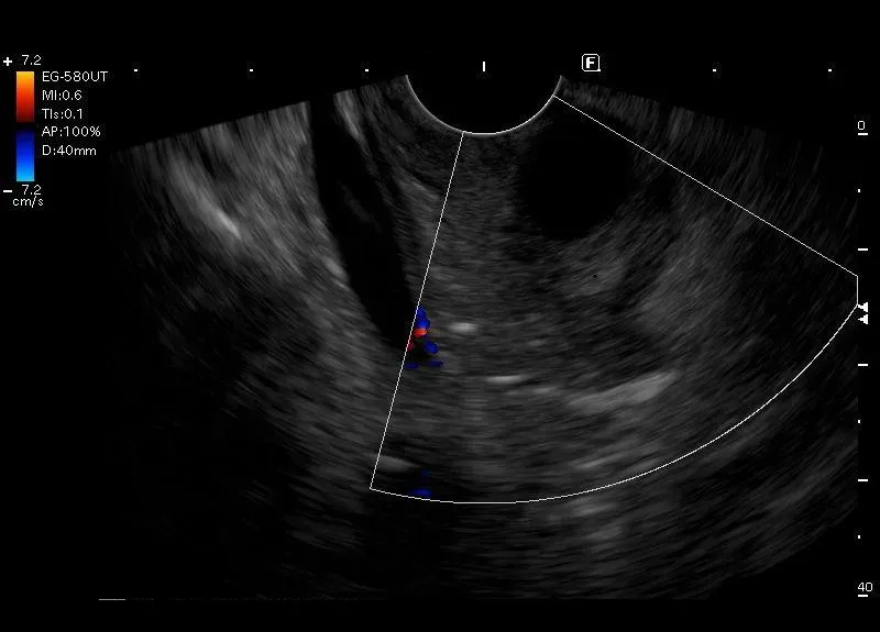
Śródścienna,10 milimetrowa torbiel w pogrubiałej do 15 mm ścianie
dwunastnicy - w wybranym przypadku element obrazu odpowiadającego zapaleniu
bruzdy.
Śródścienna,10 milimetrowa torbiel w pogrubiałej do 15 mm ścianie
dwunastnicy - w wybranym przypadku element obrazu odpowiadającego zapaleniu
bruzdy.