Down
Objaśnienie
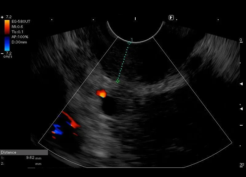
Pogrubienie ściany dwunastnicy do około 12-15 mm z obecnością
śródściennych torbieli - w wybranym przypadku odpowiada zapaleniu bruzdy.
Pogrubienie ściany dwunastnicy do około 12-15 mm z obecnością
śródściennych torbieli - w wybranym przypadku odpowiada zapaleniu bruzdy.