1 2 3
Down

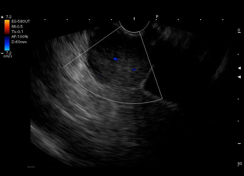
Objaśnienie

Wywodząca się z muscularis propriae ściany żołądka, owalna zmiana, z drobnymi bezechowymi przestrzeniami oraz widocznymi w badaniu doppler miejscami przepływu naczyniowego - w pierwszej kolejności obraz odpowiada GIST.