Down
Objaśnienie
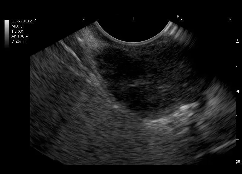
W większej części hypoechogeniczna, heterogenna, owalna zmiana, widoczna w ścianie żołądka mogąca odpowiadać trzustce ektopowej
W większej części hypoechogeniczna, heterogenna, owalna zmiana, widoczna w ścianie żołądka mogąca odpowiadać trzustce ektopowej