1 2 3
Down

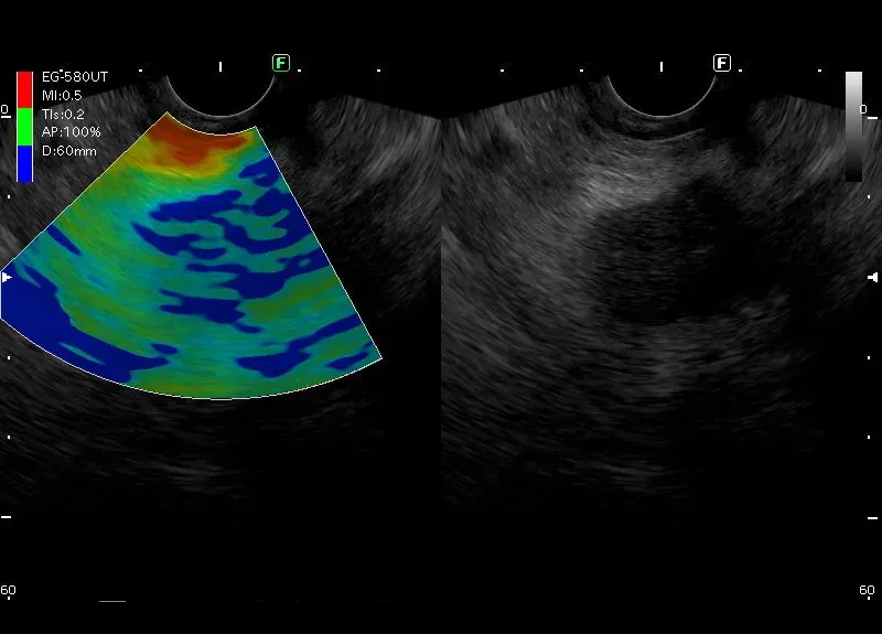
Objaśnienie

Zmiana położona w głowie trzustki o niejednorodnie obniżonej echogeniczności, nierównych zarysach i wielkości około 23/30mm. W badaniu power doppler widoczny  jest dyskretny przepływ obwodowy. Zmiana kodującej się na niebisko -„zmiana twarda” w elastografii. Całokształt obrazu odpowiada guzowi trzustki.