1 2 3
Down

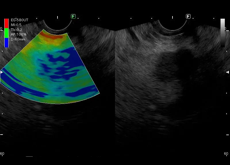
Objaśnienie

Zmiana kodująca się na niebisko - „zmiana twarda” w elastografii.

Zmiana położona w głowie trzustki o niejednorodnie obniżonej echogeniczności, nierównych zarysach i wielkości około 23/30mm. W badaniu power doppler widoczny jest dyskretny przepływ obwodowy.


Całokształt obrazu odpowiada guzowi trzustki.