1 2 3
Down

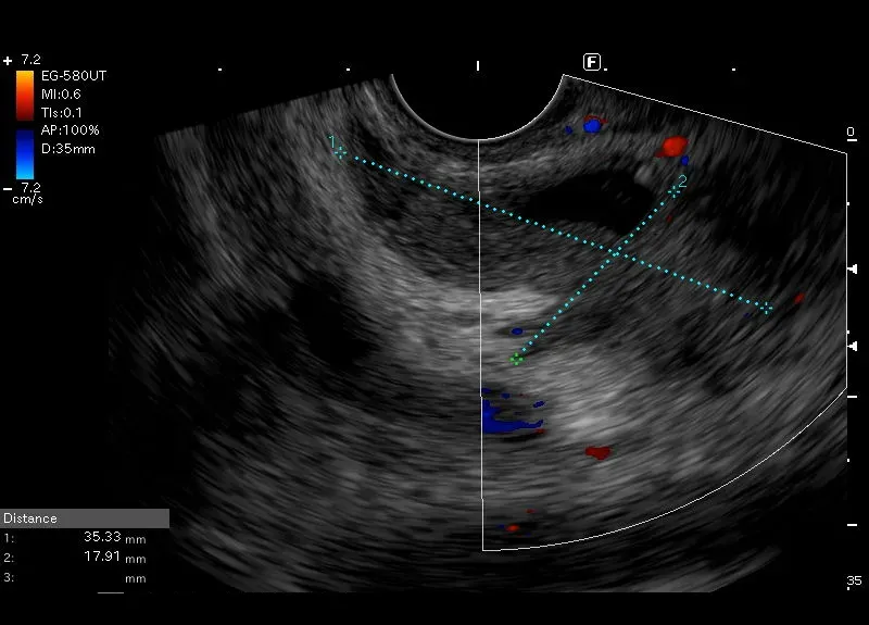
Objaśnienie

Widoczny w okolicy głowy trzustki przewód żółciowy wspólny o pogrubiałej (4 mm ścianie) łączącej się bez wyraźnej granicy z nieregularnym naciekiem około 36/18 mm, o zatartych granicach i obniżonej echogeniczności, przechodzącym na głowę trzustki. Obraz może odpowiadać nowotworowi dróg żółciowych z naciekaniem trzustki.