1 2 3
Down

Objaśnienie

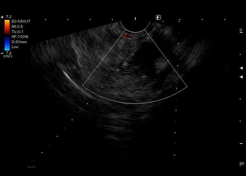
Biopsja zmiany położonej w dystalnym trzonie trzustki. Zmiana o niejednorodnie obniżonej echogeniczności i wymiarach 32x26 mm, dyskretnym przepływem obwodowym w opcji doppler i  kodującej się na niebisko „twardej” w elastografii.

Biopsja wykonana igłą 22G (FNB) z pobraniem materiału do badania histopatologicznego.