1 2 3
Down

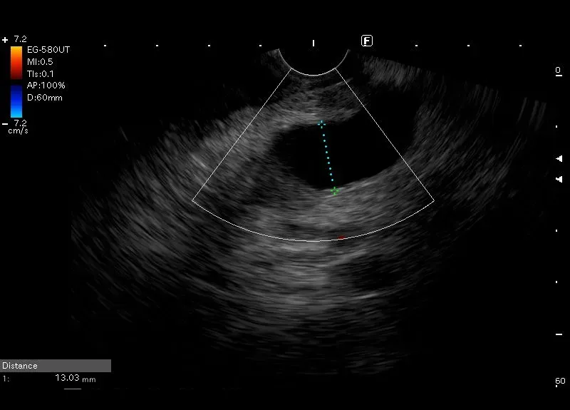
Objaśnienie

Widoczna w głowie trzustki, położona typowo, bezechowa struktura tabularna bez widocznego przepływu w opcji power doppler - poszerzony do 13 mm przewód Wirsunga, uciskany przez guz trzustki ,który na zdjęciu nie jest widoczny.