1 2 3
Down

Objaśnienie

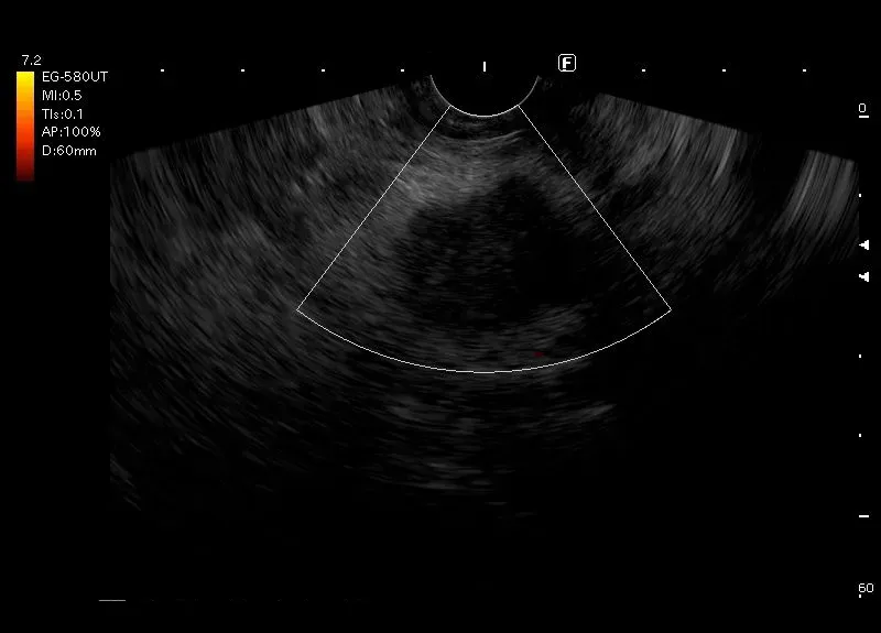
Zmiana położona w głowie trzustki, o niejednorodnie obniżonej echogeniczności, nierównych zarysach z widocznym o opcji  power doppler dyskretnym przepływem obwodowy a w elastografii  kodowaniem  na niebiesko - obraz guza trzustki.