1 2 3
Down

Objaśnienie

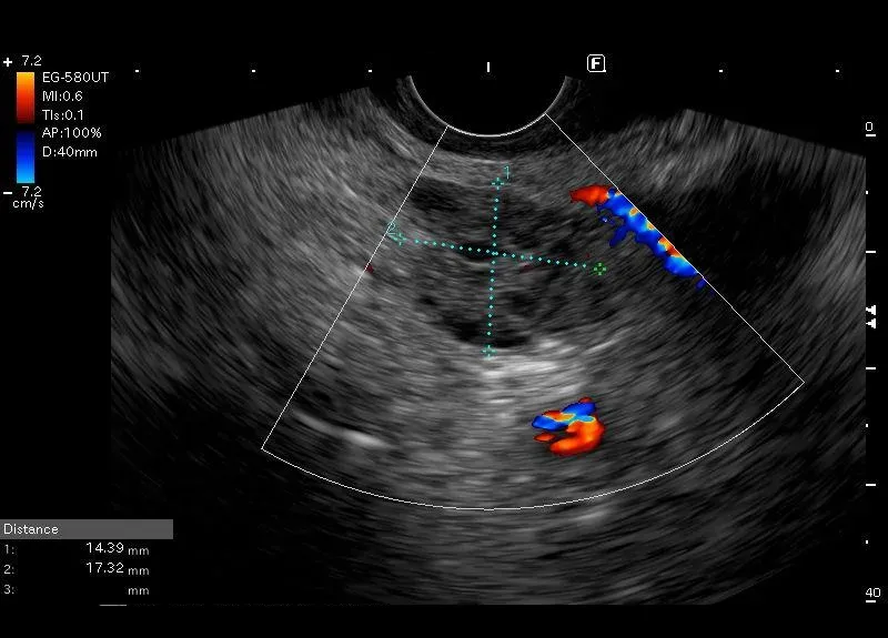
Widoczna w ciaśni trzustki dobrze odgraniczona zmiana torbielowata złożona z  licznych drobnych przestrzeni bezechowych, przedzielonych komponenta litą, bez przepływu w opcji power doppler. Opisana zmian ma wielkości około 18/16 mm. Została odnaleziona u bezobjawowej pacjentki wieku 88 lat, u której nie opisano innych zmian patologicznych w trzustce.

Zmiana torbielowata trzustki o morfologii SCN microcysticum (serous cysticneoplasm).