1 2 3
Down

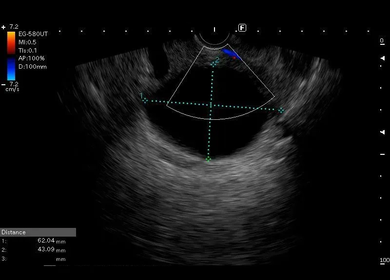
Objaśnienie

Owalna, bezechowa, cienkościenna zmiana o gładkich ścianach i wielkości 60/40 mm, bez widocznego przepływu w opcji power doppler, położona w wyrostku haczykowatym trzustki – obraz odpowiada torbieli trzustki.