Down
Objaśnienie
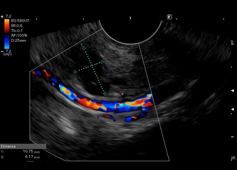
Widoczne na granicy głowy i trzonu trzustki na odcinku około 11 mm, torbielowate poszerzenie do 6mm przewodu Wirsunga - obraz może odpowiadać MD -IPMN ( main duct IPMN).
Widoczne na granicy głowy i trzonu trzustki na odcinku około 11 mm, torbielowate poszerzenie do 6mm przewodu Wirsunga - obraz może odpowiadać MD -IPMN ( main duct IPMN).