1 2 3
Down

Objaśnienie

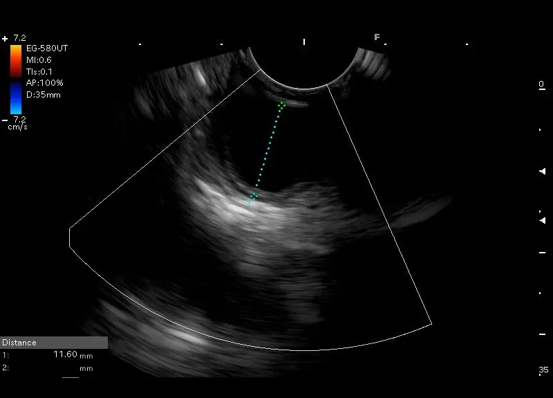
Badanie u dziecka, u którego w okolicy przedodźwiernikowej uwidoczniono zmianę opisaną jako podnabłonkowa, wielkości około 10 mm.

W obrazie  endosonograficznym zmianie tej odpowiada owalna przestrzeń bezechowa średnicy około 12 mm, dobrze odgraniczona wyraźną torebką z hyperechogenicznym wzmocnieniem za zmianą – obraz odpowiada obrazowi  torbieli ściany żołądka.