1 2 3
Down

Objaśnienie

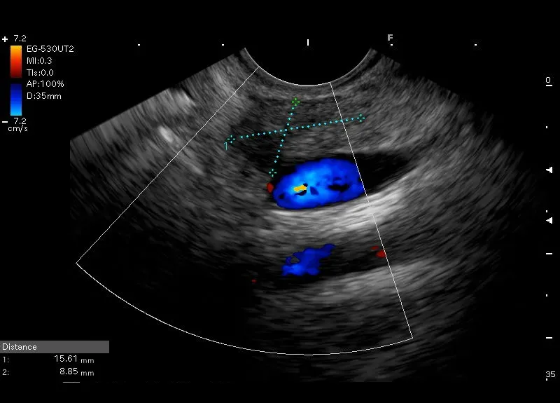
Stan po ostrym, zapaleniu trzustki u dziewczynki 17 letniej.

W trzonie obszar o niejednorodnie obniżonej echogeniczności wielkości około 16x9mm, bez komunikacji z przewodem Wirsunga i bez widocznego przepływu w opcji power doppler, odpowiadający najprawdopodobniej zmianom pozapalnym.