Down
Objaśnienie
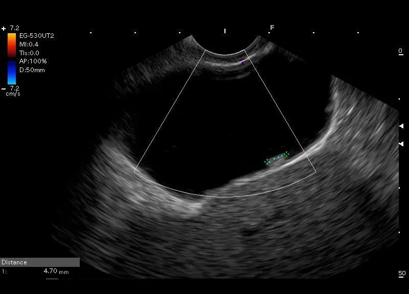
Drobna, przylegająca do ściany pęcherzyka struktura, bez widocznego cienia akustycznego, która nie przemieszczała się podczas próby wstrząsania- drobny polip pęcherzyka żółciowego
Drobna, przylegająca do ściany pęcherzyka struktura, bez widocznego cienia akustycznego, która nie przemieszczała się podczas próby wstrząsania- drobny polip pęcherzyka żółciowego