Down
Objaśnienie
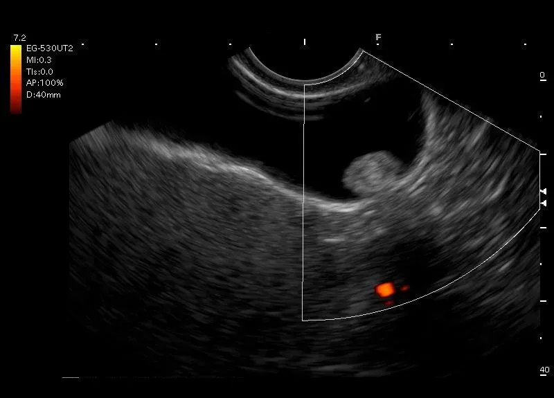
Owalna struktura przylegająca do ściany pęcherzyka żółciowego, bez cienia akustycznego, która nie zmieniła swojego położenia podczas próby wstrząsania- polip pęcherzyka żółciowego
Owalna struktura przylegająca do ściany pęcherzyka żółciowego, bez cienia akustycznego, która nie zmieniła swojego położenia podczas próby wstrząsania- polip pęcherzyka żółciowego