1 2 3
Down

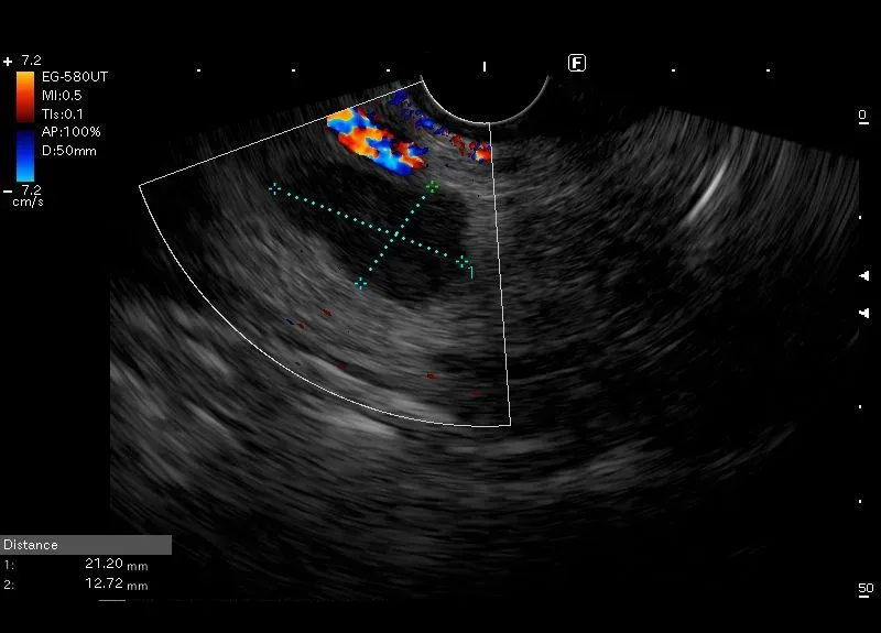
Objaśnienie

Zwykle drobne do 10 mm, owalne, nerkowate lub okrągłe, dobrze odgraniczone hypoechogerniczne zmiany, z widoczną drobną wnęką, położone w typowych miejscach, czasami jak w pokazanym przypadku powiększone.

Obraz odpowiada powiększonym węzłom chłonnym okolicy głowy trzustki.