Down
Objaśnienie
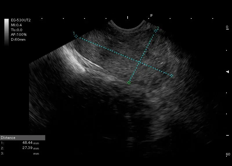
Niejednorodna zmiana przylegająca do lewego płata wątroby i żołądka, bez wyraźnej granicy z miąższem wątroby.
Niejednorodna zmiana przylegająca do lewego płata wątroby i żołądka, bez wyraźnej granicy z miąższem wątroby.