1 2 3
Down

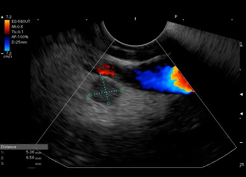
Objaśnienie

Hipoechogeniczna, regularna zmiana ogniskowa , bez przepływu w opcji Doppler, położona w wyrostku haczykowatym trzustki -obraz sugeruje NET