Down
Objaśnienie
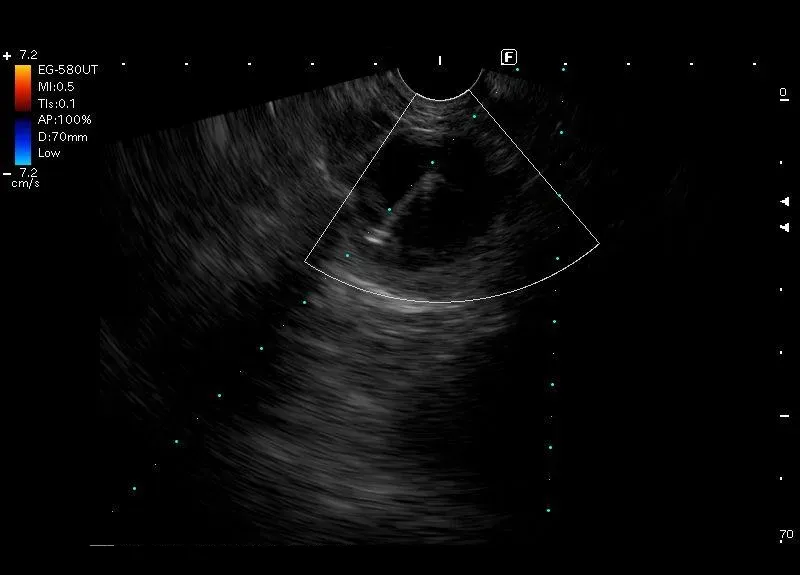
Biopsja zmiany o morfologii grubościennej torbieli ogona
trzustki z przyściennymi elementami litymi - widoczne jest echo igły i koniec
igły dochodzący do wewnętrznej ściany torbieli.
Biopsja zmiany o morfologii grubościennej torbieli ogona
trzustki z przyściennymi elementami litymi - widoczne jest echo igły i koniec
igły dochodzący do wewnętrznej ściany torbieli.