Down
Objaśnienie
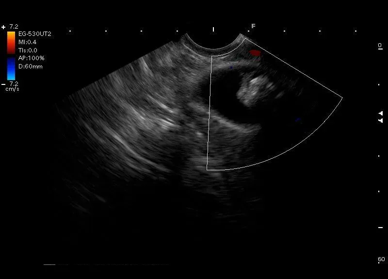
Hiperechogeniczna zmiana z cieniem akustycznym, bez przepływu naczyniowego w opcji Doppler, widoczna w świetle obkurczonego pęcherzyka żółciowego - złóg w pęcherzyku żółciowym
Hiperechogeniczna zmiana z cieniem akustycznym, bez przepływu naczyniowego w opcji Doppler, widoczna w świetle obkurczonego pęcherzyka żółciowego - złóg w pęcherzyku żółciowym