Down
Objaśnienie
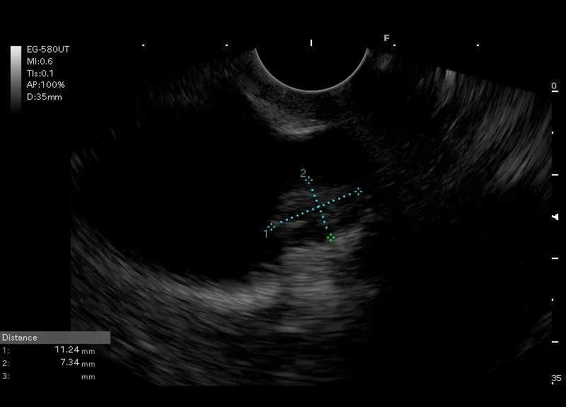
Widoczna w pęcherzyku żółciowym, przyścienna, hyperechogeniczna zmiana wielkości
około 11/7mm, zawierająca torbiel 4 mm - obraz odpowiadać może adenomiomatozie.
Widoczna w pęcherzyku żółciowym, przyścienna, hyperechogeniczna zmiana wielkości
około 11/7mm, zawierająca torbiel 4 mm - obraz odpowiadać może adenomiomatozie.