Down
Objaśnienie
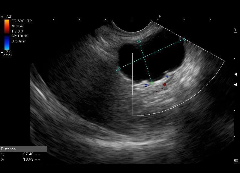
Położona w trzonie trzustki bezechowa przestrzeń o wyraźnie widocznych granicach ( torebka) , bez widocznych w świetle struktur - torbiel trzustki
Położona w trzonie trzustki bezechowa przestrzeń o wyraźnie widocznych granicach ( torebka) , bez widocznych w świetle struktur - torbiel trzustki