1 2 3
Down

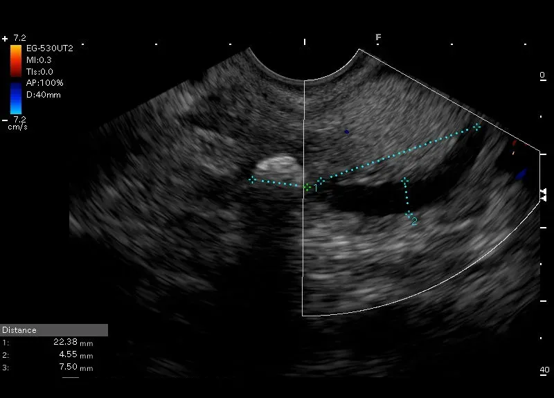
Objaśnienie

W świetle przybrodawkowego odcinka przewodu Wirsunga, tuż przy brodawce Vatera widoczne jest hyperechogeniczne, owalne ognisko wielości 9/7 mm z cieniem akustycznym – obraz odpowiadający złogowi w przewodzie Wirsunga.