Down
Objaśnienie
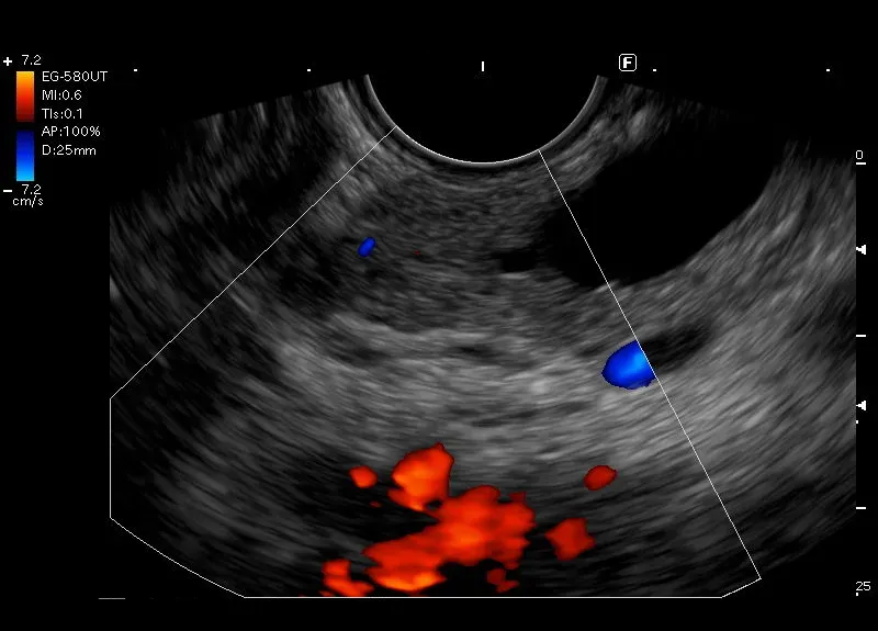
Widoczne w trzonie trzustki
torbielowate poszerzenie przewodu Wirsunga - obraz może odpowiadać MD-IPMN
( Main-Duct Intraductal Papillary Mucinous Neoplasms).
Widoczne w trzonie trzustki
torbielowate poszerzenie przewodu Wirsunga - obraz może odpowiadać MD-IPMN
( Main-Duct Intraductal Papillary Mucinous Neoplasms).