1 2 3
Down

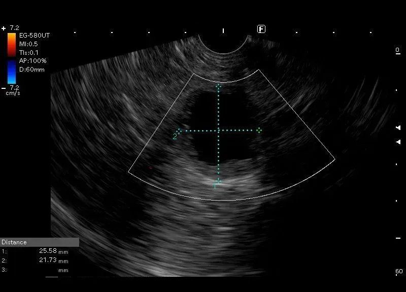
Objaśnienie

Widoczna w ogonie trzustki zmiana o morfologii grubościennej torbieli z przyściennymi elementami litymi, bez przepływu w opcji power doppler i pogrubieniem ściany do 4mm, otoczona niewielkim rąbkiem halo.