Down
Objaśnienie
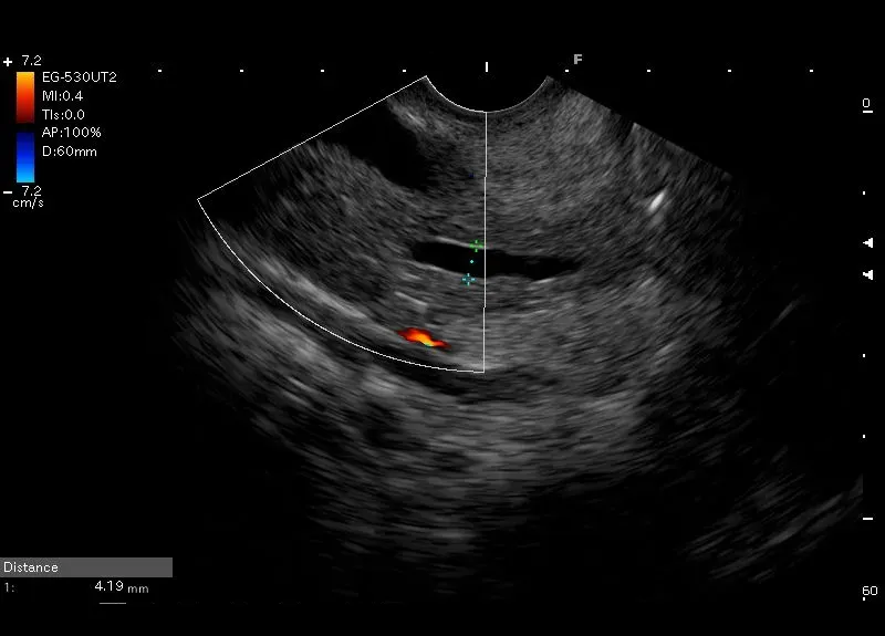
Widoczny w trzonie trzustki przewód szerokości około 4 mm z zaznaczonymi hiperechogenicznymi ściankami, bez widocznego przepływu w opcji Doppler - poszerzony przewód Wirsunga
Widoczny w trzonie trzustki przewód szerokości około 4 mm z zaznaczonymi hiperechogenicznymi ściankami, bez widocznego przepływu w opcji Doppler - poszerzony przewód Wirsunga