1 2 3
Down

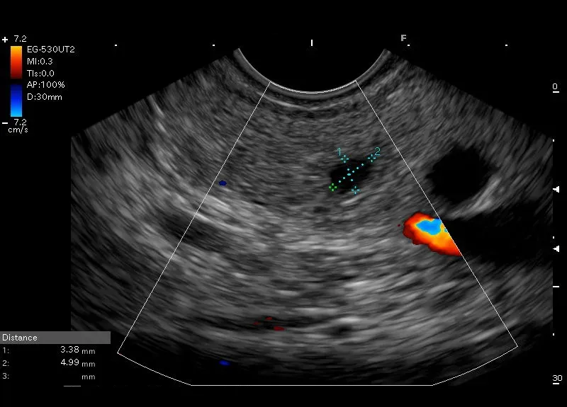
Objaśnienie

Położona w trzonie trzustki drobna, około 4 / 5 mm  bezechowa przestrzeń o wyraźnych granicach, bez struktur wewnętrznych i bez przepływu naczyniowego widocznego w opcji Doppler-drobna torbiel trzustki