Zmiany w ścianie przewodu pokarmowego
1
1
2
3
Down
Objaśnienie
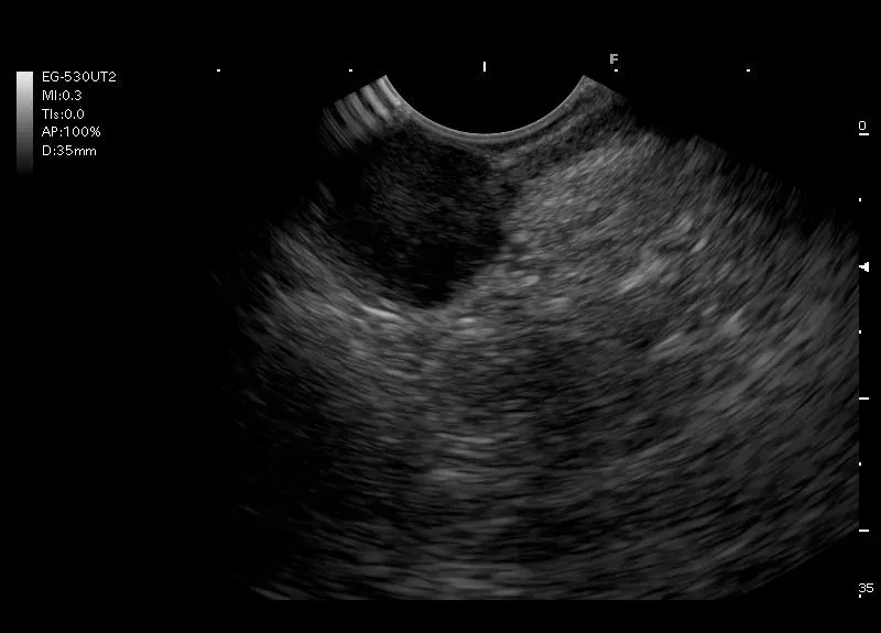
Hipoechogeniczna zmiana w ścianie żołądka wywodząca się z warstwy mięśniowej
1
następny przypadek