Down
Objaśnienie
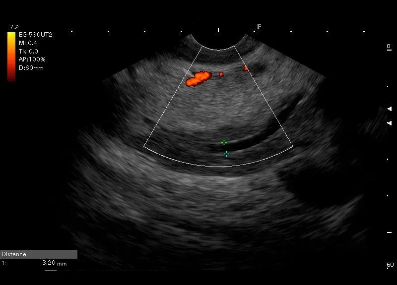
Widoczna w głowie trzustki różnica echogenicznoczności o charakterystycznym położeniu i kształcie - zawiązek brzuszny i przewód Wirunga
Widoczna w głowie trzustki różnica echogenicznoczności o charakterystycznym położeniu i kształcie - zawiązek brzuszny i przewód Wirunga