Down
Objaśnienie
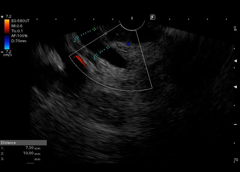
Odcinkowe poszerzenie
przewodu żółciowego wspólnego do 10 mm w stosunku do pozostałego
odcina o szerokości 7mm , prawdopodobnie o podłożu pozapalnym.
Odcinkowe poszerzenie
przewodu żółciowego wspólnego do 10 mm w stosunku do pozostałego
odcina o szerokości 7mm , prawdopodobnie o podłożu pozapalnym.